- ルシアクリニックTOP
- 症例写真
- 目の下のたるみ取り
症例写真
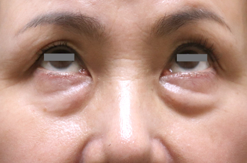
目の下のたるみ取りの症例(50代以上・女性)
-
BEFORE

AFTER(3ヶ月後)

-
BEFORE

AFTER(3ヶ月後)

目の下のたるみ取りの体験談
| 年代 | 50代以上 | 性別 | 女性 |
|---|---|---|---|
| 施術内容 | 目の下のたるみ取り(ハムラ法) | ||
| 費用 | ¥693,000 | ||
| 術式 | 下まぶたのシワやたるみ、クマ等を改善させるための手術方法です。20代後半から加齢と共に進行する下まぶたのたるみは、原因である皮膚や下まぶたの脂肪(眼窩脂肪:がんかしぼう)を取り除くことで、クマやたるみが改善され若々しい印象の目元になります。ハムラ法は下まつ毛の際を切開し、下まぶたの眼窩脂肪をくぼみ部分に移動させ、下まぶたをフラットにします。 | ||
| リスク・副作用 | 腫れ、熱感、赤み、目のかすみ、内出血 | ||
- 費用はすべて税込価格です
- 施術当時の価格です
- 当施術は保険適用外となります
術後の経過
-
目の下のたるみ取りの施術前
-
1週間後(抜糸後)
-
3ヶ月後
目の下のたるみ取りはこんな方に効果的
- 目元にハリを感じない方
- 老けた印象に見られる方
- クマがメイクではカバーできない方
- 目袋が気になる方
目の下のたるみ取りとは?
下まぶたのシワやたるみ、クマ等を改善させるための手術方法です。
20代後半から加齢と共に進行する下まぶたのたるみは、下まつ毛の際に沿って皮膚を切開することにより、引き締めることができます。
たるんだ皮膚を切り取り、ゆるんだ筋肉(眼輪筋)を引き上げてたるみを改善させます。
監修医師
美容外科診療部長
小原 直樹 NAOKI KOHARA
形成外科医・美容外科医23年目
- 日本形成外科学会認定専門医
- 日本美容外科学会(JSAPS)認定専門医
専門分野
- 形成外科
- 美容外科
資格
CASE
その他の症例写真を見る
-
50代以上|男性
目の下のたるみ取り
費用 ¥ 693,000税込 リスク
副作用腫れ、熱感、赤み、目のかすみ、内出血 術式 下まぶたのシワやたるみ、クマ等を改善させるための手術方法です。加齢と共に進行する下まぶたのたるみが改善され若々しい印象の目元になります。 担当医師 小原ドクター -
30代|女性
目の下のたるみ取り
費用 ¥429,000税込 リスク
副作用腫れ、熱感、赤み、目のかすみ、内出血 術式 下まぶたのシワやたるみ、クマ等を改善させるための手術方法です。加齢と共に進行する下まぶたのたるみが改善され若々しい印象の目元になります。 担当医師 小原ドクター -
50代以上|男性
目の下のたるみ取り
費用 ¥330,000税込 リスク
副作用腫れ、熱感、赤み、目のかすみ、内出血 術式 下まぶたのシワやたるみ・クマを改善させるための手術方法です。加齢とともに進行する下まぶたのたるみが改善され、若々しい印象の目元になります。 担当医師 小原ドクター
絞り込み検索