- ルシアクリニックTOP
- 症例写真
- 二重切開+目頭切開
症例写真
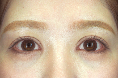
二重切開法の症例(20代・女性)
-
BEFORE

AFTER(3ヶ月後)

-
BEFORE

AFTER(3ヶ月後)

二重切開法の体験談
| 年代 | 20代 | 性別 | 女性 |
|---|---|---|---|
| 施術内容 | 二重切開+目頭切開 | ||
| 費用 | 二重切開法:¥330,000/両目 目頭切開法:¥242,000/両目 |
||
| 術式 | 皮膚を切開し、皮下にある眼輪筋や瞼板、眼窩隔膜などの処理を丁寧に行うことでくっきりとした二重を作ります。半永久的に二重ラインを維持できます。埋没法を繰り返して糸が緩みやすい方や平行型の二重ラインをご希望の方にもおすすめです。 | ||
| リスク・副作用 | 腫れ、熱感、赤み、目のかすみ、内出血 | ||
- 費用はすべて税込価格です
- 施術当時の価格です
- 当施術は保険適用外となります
患者様の声
- 施術を受けるきっかけやお悩みの箇所をお教えください。
- 目の開きが悪い
目を大きく見せたい - 施術の仕上がり・効果の満足度をお教えください。
- 術後からきれいで、腫れも少なかった
- カウンセリング・診察時の施術説明は解りやすかったですか?
- 先生がていねいで、何度も説明してくれた
- カウンセラー・看護師の対応はいかがでしたか?
- 優しく、分かりやすかった
- ドクターの対応はいかがでしたか?
- ていねいで、優しかった
様々な症例を見せてくださり、安心した - クリニックへのご要望・ご指摘・メッセージ
- また利用したいと思います。
ありがとうございます。
(施術にとても満足しているため、知人や友人にもすすめました)
術後の経過
-
二重切開+目頭切開の術前
-
直後
-
1週間後(抜糸前)
-
10日後(抜糸後)
-
3ヶ月後
二重切開法はこんな方に効果的
- 二重の左右差を治したい方
- 厚みのある腫れぼったいまぶたの方
- 奥二重をハッキリとした二重にしたい方
- アイプチやアイテープなどで二重を作っている方
二重切開法とは?
まぶたの皮膚をご希望の二重ライン上で切開し、皮下にある眼輪筋や瞼板・眼窩隔膜(がんかかくまく)などの処理を丁寧に行うことで、クッキリとした二重を作る施術方法です。
一重に戻ってしまうことはほとんどなく、半永久的に二重まぶたを維持できます。
切開法ならはっきりとした二重ラインで華やかな大きな目へと導くことができ、埋没法での対応が難しい厚みのある腫れぼったいまぶたの方におすすめの施術です。
監修医師
美容外科診療部長
小原 直樹 NAOKI KOHARA
形成外科医・美容外科医23年目
- 日本形成外科学会認定専門医
- 日本美容外科学会(JSAPS)認定専門医
専門分野
- 形成外科
- 美容外科
資格
CASE
その他の症例写真を見る
-
20代|女性
二重切開法
費用 二重切開法:¥330,000/両目
目頭切開法:¥242,000/両目税込リスク
副作用腫れ、熱感、赤み、目のかすみ、内出血 術式 皮膚を切開し、皮下にある眼輪筋や瞼板、眼窩隔膜などの処理を丁寧に行うことでくっきりとした二重を作ります。 担当医師 小原ドクター -
20代|女性
二重切開法
費用 二重切開法:¥330,000/両目
目頭切開法:¥242,000/両目税込リスク
副作用腫れ、熱感、赤み、目のかすみ、内出血 術式 皮膚を切開し、皮下にある眼輪筋や瞼板、眼窩隔膜などの処理を丁寧に行うことでくっきりとした二重を作ります。 担当医師 小原ドクター -
20代|女性
二重切開法
費用 二重切開法:¥330,000/両目
目頭切開法:¥242,000/両目税込リスク
副作用腫れ、熱感、赤み、目のかすみ、内出血 術式 皮膚を切開し、皮下にある眼輪筋や瞼板、眼窩隔膜などの処理を丁寧に行うことでくっきりとした二重を作ります。 担当医師 小原ドクター
絞り込み検索